Fariza Rodriguez
я, если что, не доктор, а аллергик с обширнейшим опытом☹️
Aleksey
Скорее на котов. У меня всю жизнь жили коты, а аллергия появилась лет 10 назад. После чего я сразу купил лысую кошку. Стало чуть легче. Но дело в том, что вне дома я все равно не могу обойтись без сальбутамола и каплей в нос
Aleksey
Например летом живем месяц в сочи. Там мне легче. Капаю в нос 2 раза в сутки. Салбутамол раза 2-3 в сутки.
Fariza Rodriguez
у меня была похожая ситуация с котом, и все прошло после того, как кота отселили, все вещи перестирали и квартиру вымыли несколько раз
Fariza Rodriguez
как раз хотела спросить про поездки
Aleksey
Но все равно не проходит!!!
Aleksey
Кто то мне сказал, что это психо соматика.
Tina
Кожа кошки-аллерген скорее всего.
Aleksey
Я про кошку знаю. Честно говоря держу её из-за детей. В свою комнату её не пускаю
Tina
Это не выход,к сожалению
Aleksey
Я уже разные эксперименты проводил над собой. Зимой хуже, чем летом. Когда бегаю по 5-6 раз в неделю, тоже легче становиться как по астме, так и по носу.
Aleksey
Когда пью сингуляр, тоже легче, чем когда не пью. Но полностью заложенность носа не проходит никогда. С астмой я смирился, а с носом нет
Tina
У меня у самой такая проблема,только без аллергии. Операция исправления перегородки пока не помогла,но ещё не прошёл год. Это мало. Спасаюсь только промыванием носа Дельфином.
Tina
Часто)
Black
Часто)
Как лечим
Aleksey
Солевыми растворами нос кстати тоже постоянно промываю
Tina
Black
:(
Tina
Само пройдёт😂
Aleksey
Ну... возможно, но не критично. Скорее психологически
Anonymous
Само пройдёт😂
Да у меня прошло....сосуды просто повреждены пока....а вам давно делали?
Tina
В мае. Я думаю, заживет ещё)
Anonymous
В мае. Я думаю, заживет ещё)
До сих пор кровотечение??
Tina
Да,но это вторая операция. Мне после первой(удаление кисты из пазухи) прижигали сосуд,но сказали,что у меня он просто близко. После второй операции, естественно, это повторилось.
Tina
Спасибо) взаимно😉
Anonymous
Спасибо...✋
Mir
Скажите, будьте так любезны) вредно ли делать пункцию при синусите?
Mir
Какие последствия?
Pomelo
Какие последствия?
Лучше уточните у врача цель
Anonymous
так стоит соглашаться на операцию по склеинванию?
Rustam.T
У меня тоже астма и капли в нос каждый день были. Скаплями вопрос решил просто забил и не капал претерпел. Теперь забыл про них. С астмой вроде тоже решил вопрос. Перестал есть рыбу. Приступы прошли через два месяца. Ингалятор ом вообще не пользуюсь.
Раньше была аллергия на рыбу покрывалась волдырями. Но рыбу ел потихоньку вроде волдыри пропали. А как оказалось просто аллергия внутрь ушла. Тут попробовал опять рыбу поесть почувствовал ухудшение, но ингалятором так и не воспользовался. С астмой надо экспериментировать. Наблюдать когда легче становиться я вообще дневник питания завел чтобы динамику наблюдать
Rustam.T
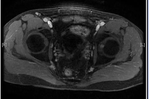
Сейчас другая проблема нашли тератоидную кисту за брюшиной у крестца. Говорят надо резать. Боюсь 😔
Rustam.T
Как её выявили? Биопсию делали?
Обнаружили случайно на УЗИ. Потом МРТ с контрастом делал. Клоноскапию фгс назначили. Но биопсия везде нормальная
Rustam.T
Сказали что скорее всего врожденная. Но резать сказали обязательно
Rustam.T
7 см
Pomelo
Такая?
Pomelo
Rustam.T
Я в этом мало что понимаю
Rustam.T
Могу свой снимок скинуть там я точно знаю где она
Tina
Скиньте,пожалуйста
Rustam.T
Ок надо чуть подождать, щас найду
Violett
Кто сделал перегородку поделитесь плиз с теми кто планирует @septoplastic
Anonymous
Кто сделал перегородку поделитесь плиз с теми кто планирует @septoplastic
Хожу с дырявой перегородкой 10 лет. Благодаря чему избавился от храпа)
Rustam.T
Rustam.T
Pomelo
Спасибо, интересно. Даже биопсию делали?
Rustam.T
да делал
Rustam.T
только не пунцию
Donald
да делал
резать-то будете?
Rustam.T
Пока консультируюсь. Говорят что не простая операция
Donald
а где операцию предлагают, если не секрет?
Rustam.T
Резать то готов. Но хочется что бы профи делал. А где его взять то?
Donald
можно найти, если приложить усилия
Donald
для начала опросить компетентных товарищей на предмет конкрентных хирургов
Rustam.T
Есть три места. Облостная на Луначарского . Потом девятка на крестовском. И еще место на Кирочной . В последних двух знакомые
Rustam.T
Но знакомые так сказать знакомых.
Donald
неа, я не из Питера совсем
Rustam.T
Жаль
Anonymous
Вопрос за 300. Какая температура вверх и вниз влияет на слипание эритроцитов?
Anonymous
А я гдето читал что еще низкая, причем не сильно то мало там было. И не могу найти где.
Anonymous
Доброй ночи)
Anonymous
Есть доктора из 50 гкб г Москва?
Yana
Доброй ночи!
Yana
Колбасит от уколов этамзилат и дротаверин внутримышечно. Что делать? Не могу спать. Давление итак низкое. Сердцебиение сильное.
Ibrahim
доброй! не знаю не видел до сих пор таких из гкб 50
Yana
Беременность. Тонус и небольшое кровотечение
Yana
Как издеваются на ночь колят.
Ibrahim
и тонус не прошел?
Ibrahim
это скорая так? вы в больничке?
Yana
Больница