Violett
И усиленно разрабатывать тоже
Violett
Eugene
4 месяца после операции
Eugene
У хирурга вчера был. Ограничений по подвижности нет в самом суставе
Eugene
Оссификация и хрящи, я так понимаю
Violett
а что на тромбы всем пофиг?
Eugene
Всем не пофиг, поэтому на реабилитацию не берут
Eugene
Так живи так
Eugene
Типа
L.A.V.
Что тебе мешает тромбоз лечить?
Violett
Слушай ты не боишься что тромб оторвется?
Violett
И реабилитация не нужна будет
Eugene
Боюсь всего
L.A.V.
Для чего тебе месяц ждать ?
Eugene
Ну он же уже неокклюзивный
Violett
Надо антикоагулянт
Eugene
Типа легкий а
Eugene
Ксарелто
Violett
Пьешь?
Eugene
Ривероксабан
Eugene
А сейчас аспирин, тромьоасс
L.A.V.
Ксарелто
Кто тебе его назначил?
L.A.V.
Уздс когда делал?
Violett
Аспирин нет смысла.
Julia
интересно я попала)
Eugene
Хирург в 1 Градской
Eugene
Что такое уздс
Eugene
УЗИ будет 5 апреля. Но я в панике
L.A.V.
Violett
Ксарелто скок пил? Или вообще не пил?
Eugene
В феврале делали, все плохо
Eugene
Согласно выписке 2 месяца
Eugene
Образование биологическое если че
Violett
Ну заново узи надо
Eugene
Иду в ПНД за АД
Violett
Не будет тромбов и возьмут на реабилитацию
Eugene
Та их не будет через полгода
Eugene
Когда уже поздно будет
Eugene
Или через нож
Eugene
Через год
Violett
Это кто сказал?
L.A.V.
Почему поздно то?)
Violett
Это кто сказал?
Что тромб год будет
Eugene
Окончательная оссификация через год как я понимаю
Violett
да причем тут оссификация
L.A.V.
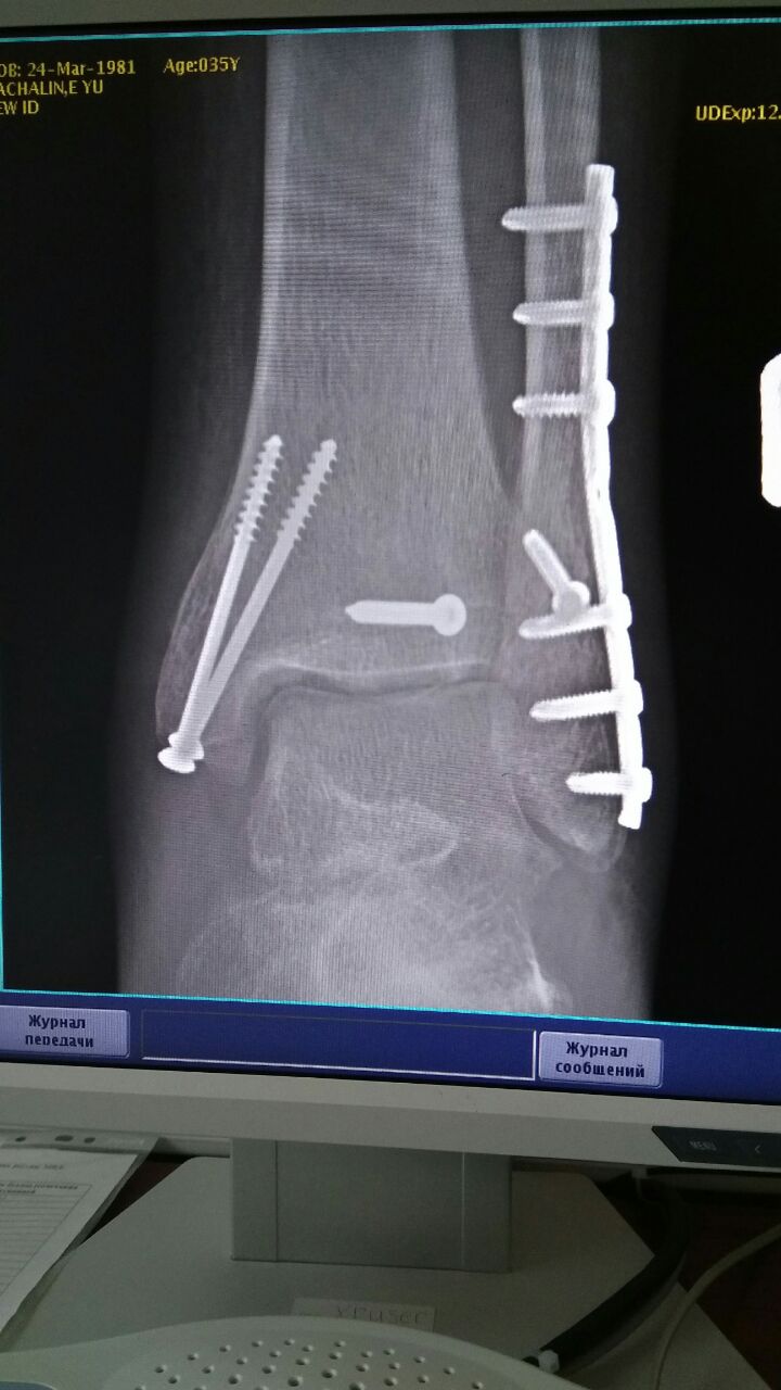
Когда травма была? Скинь рентген снимки до операции и после операцит
Eugene
И закрепление того что есть
Violett
Короче слушай меня чувак: снова узи делай
Eugene
До нету, есть современные
Violett
Если там норм тебя ВОЗЬМУТ
Violett
без узи тебя пошлют с твоими тромбами
L.A.V.
Скинь снимки и даты травмы,операции и выписки
Eugene
L.A.V.
Боковой есть?
Eugene
Травма 9.11.2016, операция 24.11.2016
Eugene
Eugene
Снимки травмы на пленке в другом месте
L.A.V.
Братан палмера
L.A.V.
На скелетном вытяжении лежал?
Eugene
Да
Eugene
Долго очень из-за флектом
L.A.V.
Пальцы двигаются ?
Eugene
Фликтен
L.A.V.
В полном обьеме?
Eugene
Пальцы двигаются, хожу почти не хромая
L.A.V.
Артроз у тебя будет, это факт
L.A.V.
Собрали в принципе неплохо
L.A.V.
Для твоего перелома
L.A.V.
Лечи сосуды и иди на реабилитацию
Eugene
Артроз?
Eugene
Сейчас или в старости?
L.A.V.
Сустав будет болеть при долгой нагрузке
Eugene
Пох на боль вообще
L.A.V.
Сейчас или в старости?
В старости точно будет, даже у тех кто не ломал
Eugene
С лестницы не могу, ну и спорт, качество жизни низкое
L.A.V.
С лестницы не могу, ну и спорт, качество жизни низкое
Браток, все приходит со временем. Перелом у тебя тяжелый был
Eugene
Просто считаю, что лучше умереть от тромба, чем жить так вот. А врачи не согласны
Eugene
И будут ждать, пока я ... Ну